Zubni implanti su mali titanijumski šrafovi koji oponašaju koren izgubljenog zuba i služe za nošenje buduće zubne nadoknade, bilo da je to krunica, most ili hibridni rad kojim se nadoknađuje ceo zubni niz. Protetska rešenja na implantima će Vam omogućiti udobno žvakanje, očuvanje zdravlja vaše vilice i ponovni osmeh. U predstojećem tekstu možete naći odgovore …
Zubni implanti su mali titanijumski šrafovi koji oponašaju koren izgubljenog zuba i služe za nošenje buduće zubne nadoknade, bilo da je to krunica, most ili hibridni rad kojim se nadoknađuje ceo zubni niz. Protetska rešenja na implantima će Vam omogućiti udobno žvakanje, očuvanje zdravlja vaše vilice i ponovni osmeh. U predstojećem tekstu možete naći odgovore na neka od pitanja vezana za zubne implante.
Koliko je važno nadoknaditi izgubljen zub?
Vađenjem zuba nastaje prazan prostor u zubnom nizu koji dovodi do brojnih komplikacija po celokupan zubik i vilicu. Odmah nakon vađenja zuba kost na tom mestu kreće da nestaje. Polako ali sigurno nastaje depresija u kosti koja neretko ima za posledicu povlačenje desni sa susednih zuba. Susedni zubi pokušavaju da nadomeste funkciju izgubljenog člana niza tako što zauzimaju nepravilan položaj migrirajući u prazan prostor. To dovodi do krivljenja zuba u jednu stranu, što pogoduje nastanku parodontalnih džepova. Svi ovi procesi smanjuju funkciju žvakanja i dovode u pitanje dugovečnost susednih zuba.
Zub antagonista ima prirodnu potrebu da bude u kontaktu sa zubima suprotne vilice. Ukoliko je naspram njega prazan prostor, on će ′isplivati′ u potrazi za tim kontaktom, što dovodi do deformacije zubnog niza i otežanog žvakanja.
Možemo zaključiti da je postavka zubne nadoknade ključna za zaustavljanje degradacije kosti, postizanje adekvatnog žvakanja, boljeg govora i oralne ravnoteže koja je važna funkcionalno koliko i estetski.
Zašto izabrati terapiju implantima?
Postoje tri primarna načina rešavanja bezubosti: mobilne nadoknade, fiksne nadoknade na zubima i nadoknade na implantima.
Mobilne nadoknade se fiksiraju pomoću preostalih zuba u vilici i oslanjaju se na meka tkiva tokom žvakanja. Negativna strana ovih proteza je što u velikom broju slučajeva stvaraju stres na zube nosače i samim tim povećavaju gubitak kosti oko preostalih zuba. Osloncem na meka tkiva se samo povećava gubitak kosti tog područja. Estetski je jako teško uskladiti izgled proteze sa preostalim zubima, a metalne kukice su vidljive u ustima i nisu prihvatljive u estetskoj zoni (prednji zubi).
Ogoljeni vratovi zuba su još jedna negativna pojava koja nastaje kao posledica dugotrajnog skidanja i stavljanja proteze jer metalne kukice vremenom skidaju zubnu supstancu.
Na samom kraju, stabilnost konvencionalnih mobilnih nadoknada nikada nije kao kod fiksnih radova. Funkcija žvakanja je otežana, što može uticati na kvalitet varenja hrane a samim tim i na kvalitet života.
Fiksne nadoknade na zubima
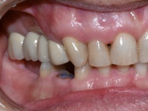
Najveća mana fiksnih nadoknada bezubog prostora je to što je potrebno brusiti susedne zube kako bi se ona izradila. Neretko, ti zubi su zdravi i njihovim brušenjem im se skraćuje životni vek. Tokom brušenja je nekada potrebno izlečiti zub usled nepogodne pozicije samog zuba (tada pri brušenju dolazi do ekspozicije zubnog nerva), što povećava troškove intervencije i dodatno skraćuje trajanje zuba. Bezubo polje će biti popunjeno visećim članom mosta, ali to neće sprečiti gubitak kosti ispod njega. Zbog toga je prisutna pojava prostora između mosta i gingive, što potencira zapadanje hrane i estetski je neprihvatljiva.

Neadekvatna gingivalna estetika
U današnje vreme u stomatologiji je pojam ′pink estetika′ dosta dobila na značaju.
Često se u zoni prednjih zuba pri osmehu vidi prelaz zuba i gingive, koji kod mostova odaje veštački utisak, tako da se može reći da ′pink estetika′ u tom slučaju nije zadovoljavajuća.
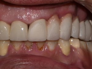
Fiksne nadoknade na implantima
Ugradnjom implantata čuva se količina preostale kosti vilice što obezbeđuje dugotrajniji sklad zubnih lukova i adekvatnu estetiku.
Kvalitetnom izradom fiksnih radova na implantima se čuva potporni aparat zuba i ′pink estetika′ može biti potpuno zadovoljena. Pažljivim radom može se dobiti potpuno prirodan osmeh i nadoknade koji izgledaju kao prirodni zubi. Nema potrebe za brušenjem susednih zuba što, između ostalog, smanjuje cenu intervencije i produžuje njihov životni vek.
Kvalitet žvakanja sa implantima nošenim nadoknadama je višestruko bolji nego kod mobilnih proteza, što ima za posledicu povećanje kvaliteta ishrane, varenja i zdravlja probavnog sistema.
„Čovek koji nikada nije nosio totalnu protezu ne zna koju razliku ovakav rad pravi“ – pac. Miloš N.
U našoj ordinaciji nudimo konsultacije i preglede vezane za implanto-protetsku rehabilitaciju, kao i celokupan tretman. Pored analognih načina rada nudimo i digitalne protokole koji podrazumevaju korišćenje najnovijih tehnologija i izradu raličitih vrsta nadoknada o kojima će biti reči u narednim tekstovima.
dr Luka Kotarac
stomatolog




